Profilaktyka i higiena jamy ustnej

Milanovaclinic - Stomatologia

Profilaktyka i higiena jamy ustnej – zadbaj o zdrowy i piękny uśmiech!

Codzienne nawyki, takie jak picie kawy i herbaty, palenie papierosów czy spożywanie dużej ilości słodyczy, mogą negatywnie wpływać na zdrowie Twoich zębów. Jak skutecznie zapobiegać próchnicy, chorobom dziąseł i innym problemom stomatologicznym? Kluczem jest regularna profilaktyka oraz odpowiednia higiena jamy ustnej!

W Milanova® Clinic oferujemy kompleksowe zabiegi higienizacyjne – taka profilaktyka stomatologiczna pomaga utrzymać zdrowie zębów i dziąseł przez długie lata.

Profilaktyką w Milanova Clinic zajmuje się:

lek. dent. Milena Gajewska

STOMATOLOGIA ZACHOWAWCZA / STOMATOLOGIA ESTETYCZNA / 
MEDYCYNA ESTETYCZNA
Jestem absolwentką Uniwersytetu Medycznego w Gdańsku, a od początku swojej kariery zawodowej stawiam na nieustanny rozwój. Podnoszę swoje kwalifikacje poprzez udział w licznych kursach i szkoleniach, zarówno z medycyny estetycznej,…

Profesjonalna higienizacja jamy ustnej – skuteczna ochrona przed próchnicą

Nasza higienizacja jamy ustnej we Wrocławiu to coś więcej niż zwykłe szczotkowanie zębów. Profesjonalne oczyszczanie przeprowadzane w naszym gabinecie usuwa kamień nazębny, osady i przebarwienia, które są główną przyczyną stanów zapalnych dziąseł i próchnicy. Podczas wizyty stosujemy nowoczesne metody, które zapewniają bezpieczeństwo i komfort Pacjenta.

W Milanova® wykonujemy nowoczesny protokół leczenia wykorzystujący unikalną procedurę Guided Biofilm Therapy, w tym:

  • Skaling i piaskowanie – usuwamy kamień nazębny i osady, przywracając zębom naturalną biel.
  • Fluoryzację – wzmacniamy szkliwo, chroniąc je przed nadwrażliwością i próchnicą.
  • Instruktaż higieny jamy ustnej – podpowiadamy, jak prawidłowo dbać o zęby na co dzień.

Skaling i piaskowanie – skuteczne oczyszczenie Twoich zębów

Skaling i piaskowanie to zabiegi, które wspólnie zapewniają najlepsze efekty w usuwaniu kamienia nazębnego oraz osadów.

  • Skaling – ultradźwiękowo usuwamy kamień nazębny z powierzchni zębów i przestrzeni międzyzębowych, zapobiegając chorobom dziąseł. 
  • Piaskowanie – delikatnie, ale skutecznie usuwamy przebarwienia i osady z trudno dostępnych miejsc, pozostawiając zęby idealnie czyste i gładkie. 

Regularne zabiegi higienizacyjne nie tylko poprawiają estetykę uśmiechu, ale również chronią przed poważniejszymi problemami stomatologicznymi.

Fluoryzacja – skuteczna ochrona szkliwa

Fluoryzacja to prosty i bezbolesny zabieg, który skutecznie wzmacnia szkliwo, zapobiega nadwrażliwości i hamuje rozwój bakterii odpowiedzialnych za próchnicę. Polega na nałożeniu specjalnego preparatu z fluorem w formie lakieru, żelu lub pianki. Zabieg ten jest szczególnie zalecany dzieciom, ale także dorośli mogą z niego korzystać, aby lepiej chronić swoje zęby.

Korzyści płynące z fluoryzacji:

  • Wzmocnienie i remineralizacja szkliwa,
  • Ochrona przed próchnicą i nadwrażliwością,
  • Spowolnienie namnażania bakterii odpowiedzialnych za choroby zębów i dziąseł.

Fluoryzację warto wykonywać regularnie – najlepiej co 6 miesięcy, aby utrzymać optymalną ochronę jamy ustnej.

Zadbaj o zdrowy uśmiech w Milanova®

Regularna higienizacja i profilaktyka to najlepszy sposób na uniknięcie problemów stomatologicznych oraz zachowanie pięknego uśmiechu na długie lata. W Milanova®Clinic stosujemy nowoczesne technologie i indywidualnie dopasowujemy zabiegi do potrzeb naszych Pacjentów.

Umów się na wizytę i przekonaj się, jak profesjonalna higienizacja może odmienić Twój uśmiech! Na wizytę u nas możesz się umówić, dzwoniąc pod numer +48 607 214 428 lub wypełniając poniższy formularz.

Umów się na wizytę już teraz!

Wypełnij poniższy formularz, a skontaktujemy się z Tobą aby wspólnie znaleźć dogodny dla Ciebie termin wizyty!

    Efekty leczenia naszych pacjentów

    Po
    Przed

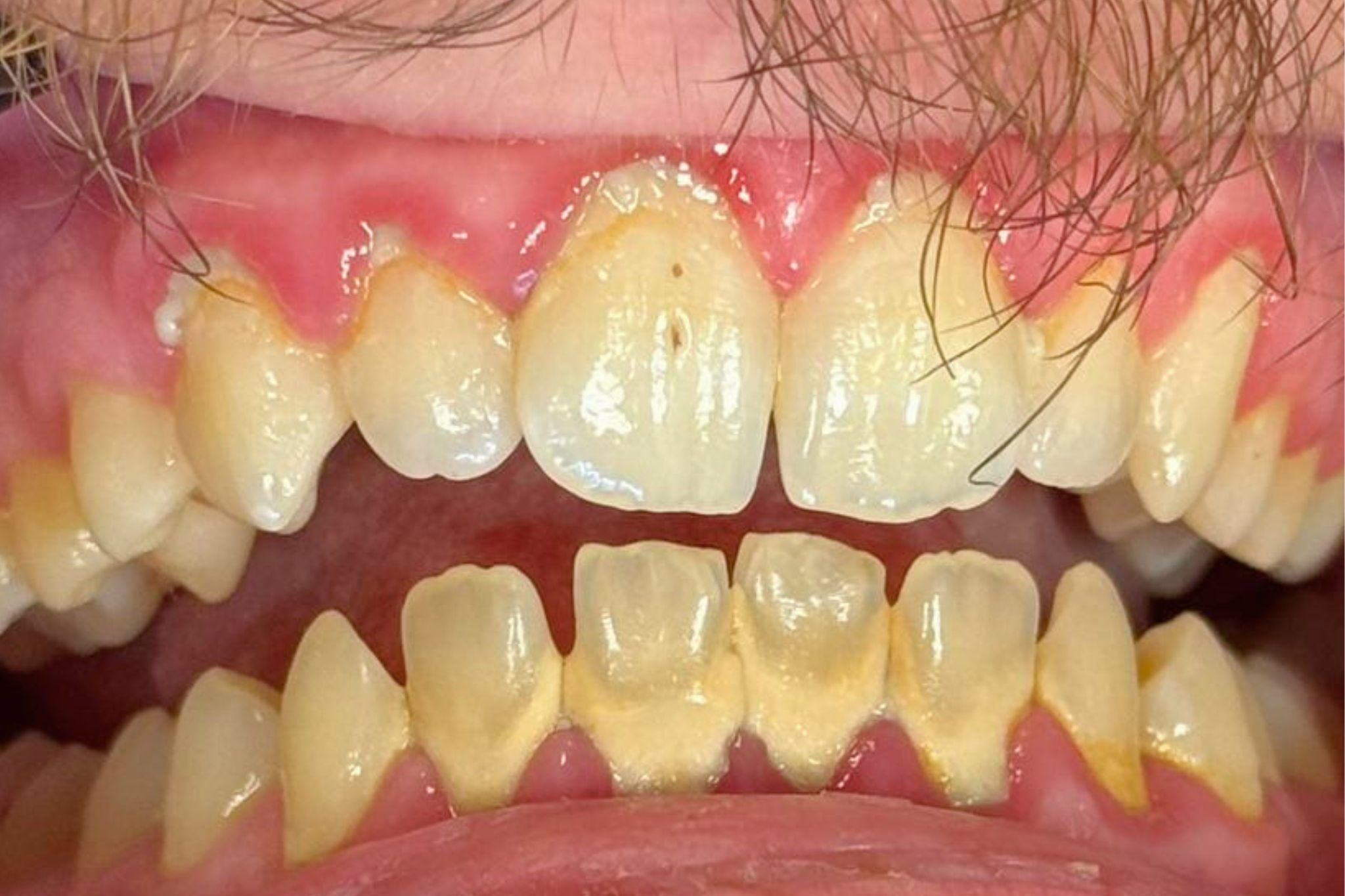
    Pan Marcin

    Pan Marcin zgłosił się do nas, ponieważ zauważył odkładający się kamień nazębny i coraz częstsze krwawienie dziąseł. Obawiał się, że problem będzie się pogłębiać, dlatego zdecydował się na wizytę higienizacyjną. Wykonaliśmy skaling i piaskowanie, dokładnie oczyszczając zęby z kamienia, osadu i przebarwień. Zabieg przywrócił świeżość i gładkość zębów, a dziąsła odzyskały zdrowy wygląd. Pacjent przyznaje, że odczuwa ogromną ulgę i różnicę – jego uśmiech znów wygląda czysto i zdrowo.  

    Po
    Przed

    Pan Krzysztof

    Pan Krzysztof od dawna wstydził się swojego uśmiechu, ponieważ przebarwienia na zębach sprawiały, że wyglądały na zaniedbane. Po konsultacji zdecydował się na wybielanie żelem aktywowanym chemicznie. Dzięki temu zabiegowi rozjaśniliśmy szkliwo i usunęliśmy nieestetyczne plamy. Po zakończeniu procedury zęby Pana Krzysztofa stały się wyraźnie bielsze, a on sam zaczął się częściej i swobodniej uśmiechać. Dzięki temu czuje się bardziej atrakcyjnie i pewnie w kontaktach z innymi.

    Po
    Przed

    Pan Piotr

    Pan Piotr zauważył, że żółtawe zęby wpływają na jego pewność siebie podczas spotkań biznesowych, dlatego odwiedził nasz gabinet. Wspólnie zdecydowaliśmy się na wybielanie regeneracyjne z użyciem lampy, które pozwala na szybkie i bezpieczne rozjaśnienie szkliwa. Już po jednej wizycie uśmiech Pana Piotra stał się jaśniejszy o kilka tonów, a zęby zaczęły wyglądać zdrowiej. Teraz z większym entuzjazmem uśmiecha się podczas rozmów z klientami, czując się bardziej profesjonalnie.

    Cennik

    Konsultacja stomatologiczna (bez leczenia) 220 zł
    Wizyta bólowa od 350 zł
    Wypełnienie 500 zł
    Bonding od 750 zł

    Najczęściej zadawane pytania

    Jakie zabiegi wchodzą w skład naszej higienizacji zębów we Wrocławiu?

    Higienizacja obejmuje skaling, piaskowanie, polerowanie oraz fluoryzację, które pomagają w usunięciu kamienia nazębnego we Wrocławiu oraz osadów.

    Ile kosztuje pełna higienizacja zębów w naszej klinice we Wrocławiu?

    Cena zabiegu zależy od zakresu higienizacji – szczegółowy cennik dostępny jest na naszej stronie internetowej lub w recepcji kliniki.

    Co jaki czas warto przeprowadzać higienizację zębów?

    Zaleca się wykonywanie higienizacji co 6 miesięcy, jednak częstotliwość może zależeć od indywidualnych potrzeb Pacjenta.

    Ile czasu po higienizacji nie jeść?

    Po zabiegu należy powstrzymać się od jedzenia i picia przez około 30–60 minut, aby umożliwić działanie preparatów ochronnych.

    Czy higienizacja zębów w naszej klinice we Wrocławiu boli?

    Zabieg jest bezbolesny, ale w przypadku nadwrażliwości zębów Pacjent może odczuwać delikatny dyskomfort.

    Czego nie robić po higienizacji?

    Przez 24 godziny należy unikać barwiących produktów, takich jak kawa, herbata, czerwone wino i papierosy, aby zapobiec przebarwieniom.

    Jak przygotować się do zabiegu higienizacji zębów we Wrocławiu?

    Przed wizytą wystarczy dokładnie umyć zęby, a w przypadku leczenia ortodontycznego lub implantologicznego poinformować nasz personel o ewentualnych, szczególnych potrzebach.

    Jak często należy przeprowadzać higienizację zębów w naszej klinice we Wrocławiu?

    Rekomendujemy wizyty kontrolne co 6 miesięcy, aby wcześnie wykryć i zapobiec problemom stomatologicznym.

    Dlaczego higienizacja zębów Wrocław jest ważna?

    Regularna higienizacja usuwa osady i kamień nazębny, chroniąc przed próchnicą i chorobami dziąseł.

    Jak dbać o zęby na co dzień?

    Warto szczotkować zęby minimum dwa razy dziennie, stosować nić dentystyczną i płyny do płukania jamy ustnej.

    Ile kosztuje usuwanie kamienia nazębnego Wrocław?

    Aktualne ceny są do sprawdzenia w naszej zakładce "Cennik".

    Jakie zabiegi wchodzą w skład gabinetowej higienizacji zębów w naszej klinice we Wrocławiu?

    Nasze zabiegi higienizacyjne to skaling, piaskowanie, fluoryzacja oraz instuktaż higieny jamy ustnej.

    Sprawdź opinie naszych Pacjentów

    Bańczyk Stomatologia
    Wyróżniony film

    Poznaj historię leczenia naszego Pacjenta

    Najlepiej o Milanova® Clinic świadczą efekty, jakie udaje nam się uzyskać u naszych Pacjentów. Każdy Pacjent to inna historia, która może stanowić inspirację i pokazywać, jak rewolucyjną przemianę może przynieść profesjonalnie przeprowadzone leczenie. Dlatego serdecznie zachęcamy do odkrywania, jakie problemy mieli nasi Pacjenci i w jaki sposób pomogliśmy się im z nimi uporać.

    Zobacz wszystkie nasze filmy

    Śnieżnobiały uśmiech - jakie zabiegi?
    Kompleksowe leczenie w Milanova Clinic
    Pierwsza wizyta u ortodonty - w jakim wieku?
    Poznaj nas lepiej

    Jak pracujemy?

    W Milanova® Clinic stawiamy na kompleksowe leczenie, które nie tylko łagodzi objawy, ale przede wszystkim eliminuje źródło problemu, przywracając pełne zdrowie jamy ustnej. Dbamy o komfort Pacjentów, oferując bezbolesne i bezstresowe leczenie dzięki nowoczesnym znieczuleniom, empatycznemu podejściu zespołu i przyjaznej atmosferze. Wykorzystujemy zaawansowane technologie, takie jak mikroskop stomatologiczny, który zwiększa precyzję zabiegów i ich skuteczność. Posiadamy także własne centrum diagnostyczne z RTG, tomografią komputerową i skanerem, co pozwala na szybkie wykonanie badań i natychmiastowe rozpoczęcie leczenia.

    Umów się na wizytę już teraz!

    Wypełnij poniższy formularz, a skontaktujemy się z Tobą aby wspólnie znaleźć dogodny dla Ciebie termin wizyty!

      +48 607 214 428
      71 738 25 44